粉瘤とは

粉瘤とは

粉瘤とは、皮膚の下に袋状の構造物ができてしまう、良性の皮下腫瘍です 。医学的には「アテローム」や「表皮嚢腫(ひょうひのうしゅ)」とも呼ばれます 。
この袋状の構造物は、私たちの皮膚の表面と同じ細胞(表皮細胞)でできています 。本来、皮膚の細胞は新陳代謝(ターンオーバー)によって、古い角質(垢)や皮脂として自然に剥がれ落ちていきます。しかし、粉瘤の袋の中では、このサイクルが皮膚の下で延々と繰り返されます。その結果、本来なら排出されるはずの角質や皮脂といった老廃物が袋の中にどんどん溜まっていき、しこりとして少しずつ大きくなっていくのです 。この「老廃物を生産し続ける袋」の存在こそが、粉瘤の本質です。
 

粉瘤の原因

多くの場合は毛穴が皮下に嵌入して、皮下に袋状の構造が出来ると考えられています。
袋の内側には垢が溜まっています。
袋は皮膚と同じ構造をしているため、皮膚から垢が排出されるのと同じ原理で、袋の内側に垢が溜まるためです。
毛穴の無い足底などにも生じることあり、イボウイルスが関与していると考えられています。

粉瘤の鑑別疾患

皮膚の下のしこり

 脂肪腫

皮膚の下にできる腫瘍で、粉瘤とともに患者さんが多い疾患です。
粉瘤と違い中央にヘソ(開口部)が無く、感染歴が無く、柔らかいです。
区別がわかりりにくいことがあります。 
 

 石灰化上皮腫

皮膚の下にできる腫瘍で、比較的患者さんが多いです。
粉瘤と違い中央にヘソ(開口部)が無く、感染歴が無く、石様に硬いです。
硬さが特徴的なので、触れば区別がつきます。 
 

 リンパ節腫脹

首のリンパ節や、股のリンパ節が周囲の感染などを理由に一時的に腫れることがあります。
その場合も、急に大きくなった皮膚の下のしこりとして触れます。
 

がんの皮膚転移・皮下転移

全てのがんは進行すると皮膚・皮下転移を生じえますが、血流が多い腫瘍臓器への転移が先行することが多いです。
定期的な健康診断を受けている方であれば、皮膚・皮下転移でがんが発見されることは稀なことです。
もともと治療中のがんがある方であれば、皮膚・皮下転移を生じる可能性はあります。
もともとのがんを治療している病院の皮膚科受診が良いと思います。(※がん治療開始が遅れる可能性があるため)
 

赤く腫れる皮下のしこり

 せつ・よう

毛穴から細菌感染をきたし、皮下膿瘍(皮膚の下に膿が貯留する)を形成します。
感染をおこした粉瘤と見分けがつきにくいことがあります。
排膿処置をすると、区別が出来ることが多いです。
 

 臀部慢性膿皮症(化膿性汗腺炎)

青年~中年男性に多いです。
お尻にボコボコと皮下膿瘍(皮膚の下に膿が貯留する)が多発します。それぞれがくっついて大きくなります。
多発した皮下膿瘍がアリの巣のように互いに交通して複雑な膿瘍を形成します。
圧迫すると排膿します。排膿処置をすると、区別が出来ることが多いです。

粉瘤の症状

粉瘤の症状は、炎症を起こしていない「平穏な状態」と、細菌感染などによって炎症を起こした「炎症性粉瘤」の2つの状態で大きく異なります。

炎症がない場合(平穏な状態)

炎症を起こしていない粉瘤は、多くの場合、以下のような特徴を持ちます。

  • 皮膚がドーム状に盛り上がった、肌色のしこり 。
  • 触ると少し硬く、皮膚の下で動く感じがある 。
  • 通常、痛みやかゆみはない 。
  • しこりの中央に「開口部」と呼ばれる小さな黒い点が見えることがある。これは「へそ」とも呼ばれ、毛穴の名残です 。
  • 強く圧迫すると、この開口部からドロっとしたチーズ状の、強い臭いを伴う内容物が出てくることがある 。

粉瘤は体のどこにでもできますが、特に顔、首、背中、耳の後ろなど、皮脂腺が多い場所にできやすい傾向があります 。

炎症がある場合(炎症性粉瘤)

粉瘤の開口部から細菌が侵入したり、無理に潰そうとしたりすることで、袋の中に細菌が感染し、炎症を起こすことがあります。これを「炎症性粉瘤」と呼びます 。この状態になると、それまでの穏やかな状態から一変し、急性でつらい症状が現れます。

  • 赤み(発赤):しこりの周りの皮膚が赤くなる。
  • 腫れ(腫脹):急に大きく腫れ上がる。
  • 痛み(疼痛):ズキズキとした強い痛みを伴う。
  • 熱感:触ると熱を持っているのがわかる 。

炎症がひどくなると、袋が破れて膿が溜まり、自然に破裂して臭いの強い膿が出てくることもあります 。
この炎症という状態は、単なる症状の悪化ではなく、治療方針を大きく左右する重要な転換点です。炎症がない粉瘤は、患者さんの都合に合わせて計画的に手術ができます。しかし、一度炎症を起こしてしまうと、それは緊急性の高い状態となり、治療の最優先事項が「感染を抑え、痛みを取り除くこと」に変わります 。そのため、まずは皮膚を小さく切開して膿を出す処置(切開排膿)を行い、抗生物質で炎症を完全に鎮める必要があります。そして、炎症が完全に治まった数週間から数ヶ月後に、根本治療である袋の摘出手術を行うという、二段階の治療が必要になるのです 。

粉瘤の手術

2通りの方法があり、どちらも対応可能です。
どちらの方法でも、出来るだけキズが目立たない方法で行います。
 

粉瘤のくりぬき法(へそ抜き法) 

  • キズが小さいです。
  • 炎症がある時にも可能です。(袋が取れないことがあります。その場合は手術では無く、切開処置となります。)
  • 取りきれない可能性があります。(過去に炎症をおこした場合などで袋が周囲組織に癒着している場合)

中央に穴を開けます。

背部粉瘤のくりぬき法

中のアカを出します。

その後に、袋も引っ張り出します。

背部粉瘤のくりぬき法で摘出

摘出後。

キズを縫って終了。

摘出した粉瘤

とれた袋です。傷を縫い合わせて終了です。
 
 患者様に許可をいただき掲載しています 

 全摘出手術

  • 全例に実施可能。
  • ただし、炎症がある時期には不可能です。 

耳の裏の粉瘤です。

耳裏の粉瘤

くりぬき法だと、伸びた皮膚が余ってしまいますので全摘切除手術の適応です。

取り出した粉瘤です。

摘出した粉瘤

余分な皮膚も切除して、縫い合わせました。

耳裏粉瘤の術後

 
 患者様に許可をいただき掲載しています 

頭頂部の2~3cm大の粉瘤です。

頭部の粉瘤の術前

「傷が目立たない」「しっかり取りきる」のバランスで全摘切除の方針としました。

頭部の粉瘤摘出

取り出した粉瘤です。

術後3週間。術野の剃毛部の毛髪も生えてきました。

術後の経過写真

 
 患者様に許可をいただき掲載しています 

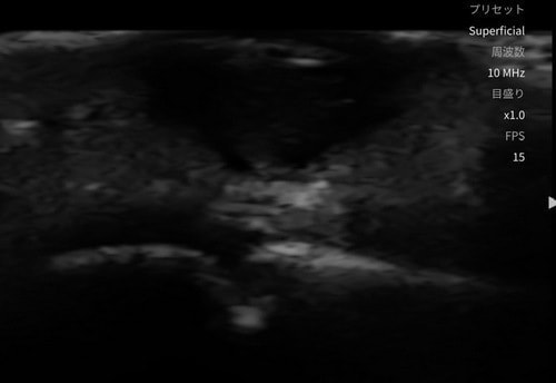
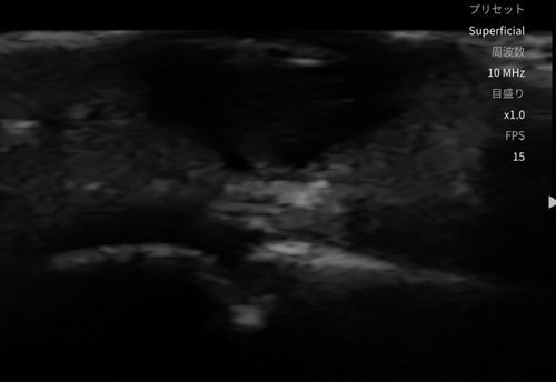
足底のタコが痛くて受診されました。この場所のタコは両側に出来ることが多いですが、反対の足にはありませんでした。

足底粉瘤の術前

分厚いタコがあり皮膚の下を触診で診察しにくいため、エコー検査をしてみました。粉瘤の診断になりました。

足底粉瘤の術前エコー

当日手術を行いました。

1cm程度の丸っこい粉瘤が摘出出来ました。

摘出した粉瘤

 
 患者様に許可をいただき掲載しています 

手術の流れ

手術の方法をご説明します。基本的に初診日に手術可能です。
局所麻酔をします。
手術をします。
必要なお薬を処方します。
手術翌日、創部の確認を行います。
5~7日後、抜糸します。

費用

健康保険(3割負担の場合)

別途、初診料、再診料、処方量、薬剤量などがかかります。
露出部とは、頭部、頸部、腕の肘関節以下、足の膝関節以下です。

皮膚腫瘍切除術

露出部2㎝未満:8,010円(手術4,980円+病理検査3,030円)

露出部2~4㎝:14,040円(手術11,010円+病理検査3,030円)

露出部以外3㎝未満:6,870円(手術3,840円+病理検査3,030円)

露出部以外3~6㎝:12,720円(手術9,690円+病理検査3,030円)

よくある質問

A
可能です。
予約の患者様もおりますため、混みあってる日は、診察後から手術までの間の待ち時間が長くなることがあります。
その場合は、お待ちいただき当日手術を希望されるか、後日の時間予約での手術をご希望されるかご希望を伺っています。
 
A
診察後に、別日の時間予約での手術が可能です。
診察前の時間予約は承っておりません。
 
A
局所麻酔注射を行うときに痛みがあります。
歯科麻酔で使われるものと同じものです。
手術中は痛みはありません。
大きな腫瘍だと深い部位の麻酔が足りないことがあるため、その場合は手術中に麻酔を追加します。
 
A
我慢できる程度の痛みがありますが、時間とともに改善していきます。
痛み止めも処方していますが、使わなくても大丈夫だったという方も多くいます。
 
A
1週間後、1カ月後に再診していただいています。
手術方法によっては、出来るだけ手術翌日にも受診していただくようにしています。
1週間後に抜糸を行います。
抜糸時に、創部の状態によってその後の通院時期を改めてお伝えしています。
 
≪監修者プロフィール≫
監修医師うらた皮膚科 院長 浦田透
保有資格日本皮膚科学会認定 皮膚科専門医
経歴
平成23年 中京病院 研修医
平成25年 中京病院 皮膚科
平成26年 名古屋大学医学部附属病院 皮膚科
平成27年 国立がん研究センター中央病院 皮膚腫瘍科
平成28年 名古屋大学医学部附属病院 医員
平成30年 名古屋大学医学部附属病院 病院助教
平成31年 名古屋大学医学部附属病院 助教
令和3年 うらた皮膚科